Welcome to Turkey

For the safety and comfort of our patients, we accompany our patients from the airport to the hotel where they will stay, with our disinfected vehicles.

01 04

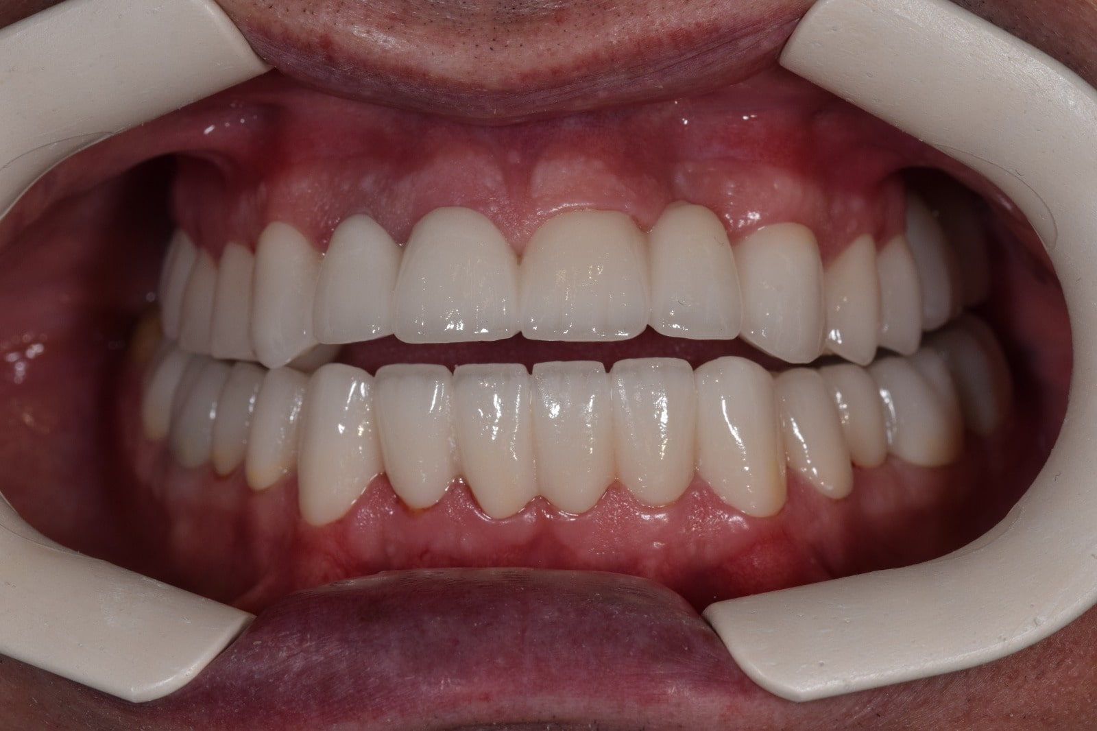
Examination and Surgery

We will accompany you to have a face-to-face examination with your doctor who will perform the operation you have applied for. During the examination, our medical team will perform the necessary medical analyzes to determine whether you are suitable for the operation. If you are suitable for the operation, your doctor will perform your operation.

02 04

Rest

After your operation, you will be discharged from our clinic with the approval of your doctor. We will accompany you to your pre-arranged 4 or 5 star hotel and make sure that you are comfortable and relaxed during your rest period.

03 04

Control and Return

After your rest period determined by your doctor, our team will accompany you to check you and your results. After your control, we will provide your transfer to the airport. We would like to see you again in Turkey with your new look.

04 04
WHY CIAR?

OUR PRIVILEGES

OUR SERVICES

OUR OPERATIONS

#CIARSTORY

#CHANGES

BEFORE AFTER

#FREECONSULTING

CONTACT OUR CONSULTANTS!

    • NAME SURNAME *
    • PHONE *
    • E-MAIL
    • MESSAGE
    #MAKALELER

    BLOG